Лікування протрузій та гриж грудних міжхребцевих дисків
Болі в грудному відділі хребта досить частe захворювання. У медицині цей термін називається торакалгія. Причин цих болів достатньо багато, але найбільш серйозним та погано вилікованим є патологія міжхребцевого диска.
Протрузії та грижі грудного відділу міжхребцевих дисків зустрічаються рідше, ніж у шийному або поперековому відділах хребта. Однак, насправді, це трапляється не рідко.
Традиційне лікування
До недавнього часу такі захворювання лікувалися або медикаментами, або мануальною терапією. У ряді випадків це приносило тимчасовий ефект, але хвороба рецидивувала.
Хірургічне лікування протрузій та гриж грудного відділу хребта відноситься до категорії найбільш складних та небезпечних. Це стосується як відкритих мікрохірургічних операцій, так і ендоскопічних.

Складності хірургічного лікування
Хірургічне лікування протрузій та гриж грудного відділу хребта відноситься до категорії найбільш складних та небезпечних операцій.
Це стосується як відкритих мікрохірургічних операцій, так і ендоскопічних втручань, які потребують високої кваліфікації хірурга.
Прорив у лазерному лікуванні
Ще у 90-х роках минулого століття з'явилися повідомлення про успішні операції методом пункційної лазерної мікродискектомії.
Однак, дуже небагато авторів поспішили повторити ці операції, оскільки це виявилося досить складно, а в ряді випадків – неможливо.
Наша методика
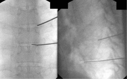
Нами розроблена методика, що дозволяє успішно проходити голкою в потрібний міжхребцевий диск і проводити в центр його лазерний промінь. Дія лазерного променя така ж, як і при лікуванні шийних або поперекових дисків.
Також розроблена методика, що дозволяє безпомилково виявляти той диск, який є причиною болю.

Наш досвід
- Більше ніж за 20 років нами накопичений достатньо великий досвід у лікуванні протрузій та гриж грудних міжхребцевих дисків
- Ефективність таких операцій досягає 90%
- У найбільш складних випадках ми можемо проводити операцію не тільки під контролем рентгенапарата, а й під контролем комп'ютерного томографа
- Ймовірність ускладнень від такої операції практично зведена до нуля
Процедура операції
- Операція проводиться під місцевим знеболенням
- Операція триває близько 30 хвилин
- Якщо операція проводиться під комп'ютерним томографом, операція може тривати до 45 хвилин
- По закінченню операції хворий може йти додому
- Тривалість відновлювального періоду не перевищує 2 тижні
- Протягом цього періоду постільний режим не потрібен, обмежується тільки підйом ваги
Потрібна консультація спеціаліста?
Запишіться на прийом до наших експертів
Записатись на прийом
