Neyromed

ООО «Эндоскопическая нейрохирургия»

Повернутися до новин

Хірургічна тактика при багаторівневих зміщеннях поясничних міжхребтових дисків

08.01.2020
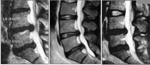
Знімок
Мета. Покращити результати хірургічного лікування поясничних больових синдромів та радикулопатій, викликаних багаторівневим зміщенням міжхребтових дисків у попереково-крижовому відділі хребта. Матеріали та методи. Протягом 2014–2018 років ми обстежили та лікували 3045 пацієнтів з болем у попереку та радикулопатією, викликаною зміщенням міжхребтових дисків у поперековій області. Сімдесят два відсотки пацієнтів з багаторівневим зміщенням міжхребтових дисків були обстежені та проліковані в Дніпропетровській обласній клінічній лікарні ім. І.І. Мечникова, 21% пацієнтів – у медичному центрі «Ендоскопічна нейрохірургія» та 7% пацієнтів були прооперовані в медичному центрі «Клініка сімейної медицини». Середній вік пацієнтів склав 42,6 ± 5,4 року. Всі пацієнти пройшли неврологічне обстеження з функціональними пробами, комп'ютерною та магнітно-резонансною томографією, спондилографією, електронейроміографією. Ефективність обраного методу хірургічного лікування оцінювали за шкалою VAS, статичне та динамічне тестування функції хребта до втручання та через 2–3 тижні, через 2–3 місяці та через 3–5 років після операції. Дні непрацездатності були взяті до уваги. Результати. Пацієнти перенесли пункційну лазерну мікродискектомію (PLM) та ендоскопічну мікродискектомію (EDE) (p <0,05) з найбільш значним полегшенням больового синдрому, а мікродискектомія з інструментами була пов'язана зі зменшенням больового синдрому на всіх стадіях. Показники статичної та динамічної функції хребта з використанням тесту Шобера, латерофлексії, розгинання в динаміці також були значно кращими у пацієнтів після ПЛМ та ЕДЕ порівняно з іншими методами хірургії. Найменша кількість днів непрацездатності спостерігалася у пацієнтів, які перенесли PLM (30,7 ± 6,3 дня) та EDE (24,6 ± 5,2 дня). Максимальна кількість днів непрацездатності була у 34 пацієнтів після мікродискектомії з інструментарієм – 64,5 ± 10,7 дня. Висновки. При виборі хірургічної тактики для двох гриж, розташованих на несуміжних рівнях, клінічні прояви та розміри другої грижі повинні бути вирішальними. При порівнянні ефективності хірургічного лікування багаторівневих гриж міжхребтових дисків у попереково-крижовому відділі хребта найкращі результати були отримані з використанням методів EDE та PLM.